dr.navedfarid@gmail.com
+91 9867655177
Menu
About Me
Treatments
Complex Fractures & Trauma
Joint Replacement Surgery
Arthroscopic Knee Surgery
Total Knee Replacement
Minimally Invasive Spine Surgery
Spine Surgery
Gallery
Photo Gallery
Video Gallery
Testimonials
FAQ's
Academics
FellowShips
Procedure
Downloads
Contact
Procedure
Bilateral Thr
Bilateral Thr Male
Preop AP View
Thr 25 Yea Male
Thr 25 Yea Male 4
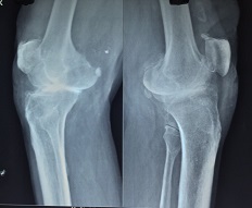
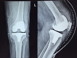
Tkr 69 Year Old
Tkr 73 Year Old
Wrist Tendon surgery
Minimal Invasive Tibia Plating And Fibula Nailing
ORTHO TREATMENTS
Complex Trauma – Complex Fractures
Minimally Invasive Fracture Surgery
Minimally Invasive Spine Surgery
Joint Replacement Surgery
Spine Surgery
Pain Management
Minimal Injury Surgery
Endoscopic Spine Surgery
Epidural & Other Injections
Spinal Fusion
Kyphoplasty
Injections For Backache
Slip Disc
Spinal Stenosis
Backache
Sciatica
Spondylolisthesis
NAVED ANSARI © Copyrights 2020. All rights reserved.